Járulékos csontok gyermekkorban – amit a szülőknek tudni érdemes
A járulékos csontok gyakran okoznak bizonytalanságot a szülőkben, amikor egy képalkotó vizsgálat – például röntgen vagy MR – során „plusz csontként” jelennek meg gyermekük lábán vagy bokáján. Ilyenkor természetes kérdés, hogy vajon fejlődési rendellenességről, betegségről vagy kezelést igénylő eltérésről van-e szó.
Fontos már az elején hangsúlyozni: az elváltozások többsége ártalmatlan anatómiai variáns, vagyis a test egyik természetes változata. Önmagukban nem jelentenek betegséget, és nagyon sok gyermeknél soha nem okoznak panaszt. Ugyanakkor bizonyos helyzetekben – például sport, túlterhelés vagy nem megfelelő cipőviselés esetén – a csontok panaszt is okozhatnak, ezért érdemes tisztában lenni a jelentőségükkel.
Ez az összefoglaló abban segít, hogy a járulékos csontok gyerekkorban mit jelentenek, mikor tekinthetők teljesen ártalmatlannak, és mikor indokolt gyermekortopédiai vizsgálat.
Mik azok a járulékos csontok?
Olyan veleszületett csontos képletek, amelyek a csontfejlődés során elkülönülten maradnak meg, és nem forrnak össze a fő csonttal. A gyermekek csontjai fejlődésük során több csontosodási magból alakulnak ki. Normál esetben ezek a csontosodási centrumok később egyesülnek, és egységes csonttá válnak.
Ha ez az egyesülés nem történik meg teljesen, akkor egy különálló csontdarab marad vissza – ezt nevezzük járulékos csontnak. Ezek a csontok általában:
- kisméretűek,
- jól körülhatároltak,
- sima, szabályos felszínűek,
- már gyermekkorban jelen vannak, csak sokszor később derülnek ki.
Fontos tudni, hogy nem törések, és nem is „rosszul összeforrt” csontok. A töréssel szemben a járulékos csont sima szélű, rendezett szerkezetű, míg a törés általában éles, szabálytalan kontúrt mutat.

Hol fordulnak elő leggyakrabban ?
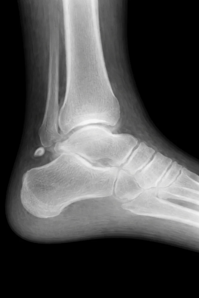
Gyermekkorban a járulékos csontok leggyakrabban a láb és a boka területén fordulnak elő. Ennek oka, hogy itt különösen sok csontosodási centrum vesz részt a fejlődésben.
A leggyakoribbak:
- Os tibiale externum (accessory navicular)
A belső lábszélen, a sajkacsont közelében található. Gyakran derül ki lúdtalp vagy belső lábél fájdalom kivizsgálása során. - Os trigonum
A boka hátsó részén helyezkedik el. Főleg lábujjhegyre terheléskor (például balett, torna, labdarúgás) okozhat panaszt. - Os peroneum
A külboka környékén, egy ín lefutása mentén található járulékos csont.
Ezek a járulékos csontok sokszor véletlen leletként kerülnek felismerésre, például bokafájdalom, sportsérülés vagy lúdtalp kivizsgálásakor.
Miért alakulnak ki ?
A járulékos csontok kialakulása nem betegség, és nem genetikai rendellenesség a klasszikus értelemben. Egyszerűen a csontfejlődés egyik természetes variációjáról van szó.
A csontosodás során előfordulhat, hogy egy-egy csontosodási mag:
- nem olvad össze teljesen a fő csonttal,
- különálló képletként marad meg,
- de ettől még stabil és rendezett marad.
Ez önmagában nem befolyásolja a gyermek mozgásfejlődését, járását vagy sportolási képességeit.
Okoznak-e panaszt a járulékos csontok?
A járulékos csontok döntő többsége panaszmentes. Sok gyermek és felnőtt soha nem is tudja meg, hogy járulékos csontja van.
Panasz akkor jelentkezhet, ha:
- a járulékos csont mechanikai irritációnak van kitéve (szoros cipő),
- sport vagy intenzív mozgás miatt túlterhelődik,
- a környező inak és szalagok gyulladásba kerülnek,
- lúdtalp vagy tengelyeltérés miatt fokozott terhelés éri a területet.
Ilyenkor előfordulhat:
- terhelésre fokozódó fájdalom,
- helyi nyomásérzékenység,
- duzzanat,
- ritkábban sántítás vagy mozgáskerülés.
Hogyan ismerhetők fel?
Szülőként az alábbi jelek hívhatják fel a figyelmet:
- a gyermek egy adott ponton fájlalja a lábát vagy bokáját,
- sport után panaszkodik,
- bizonyos cipők viselésekor fájdalom jelentkezik,
- tapintható kemény képlet érezhető.
A diagnózis alapja legtöbbször röntgenvizsgálat, amely jól elkülöníti a járulékos csontokat más eltérésektől. Szükség esetén MR-vizsgálat segíthet megítélni a környező inak és lágyrészek állapotát.
Mikor indokolt orvoshoz fordulni?
Gyermekortopédiai vizsgálat javasolt, ha:
- a fájdalom visszatérő vagy tartós,
- terhelésre fokozódik,
- sántítás jelentkezik,
- a panaszok pihenésre sem szűnnek,
- a sporttevékenység korlátozódik.
Panaszmentes járulékos csontok esetén általában nincs szükség kezelésre, csak megfigyelésre.
Hogyan kezelhetők a járulékos csontok?
Megfigyelés:
Panaszmentes esetben ez a leggyakoribb és legjobb megoldás.
Konzervatív kezelés:
Ha a járulékos csont panaszt okoz:
- terhelés átmeneti csökkentése,
- kényelmes, megfelelő cipő,
- lúdtalp esetén statikai korrekció,
- gyógytorna, izomerősítés,
- ritkán gyulladáscsökkentő kezelés.
Műtét:
Gyermekkorban rendkívül ritka, csak tartós, konzervatív kezelésre nem reagáló panasz esetén merül fel.
Mire figyeljen a szülő?
A legfontosabb: nem a leletet, hanem a gyermeket kell figyelni. Ha a gyermek panaszmentes, jól terhelhető és szeret mozogni, a járulékos csont jelenléte önmagában nem jelent problémát.
Érdemes:
- figyelni a gyermek jelzéseire,
- kerülni a szűk, kemény cipőket,
- biztosítani a változatos mozgást,
- szükség esetén szakemberhez fordulni.
Prognózis
A járulékos csontok gyerekkorban döntő többségükben jóindulatú, stabil eltérések. Megfelelő megfigyeléssel és szükség esetén célzott kezeléssel a gyermek teljes értékű, aktív életet élhet, és a járulékos csontok hosszú távon sem jelentenek akadályt.
Gyakori kérdések – Járulékos csontok
Mi az a járulékos csont (accessory bone) gyerekkorban?
A járulékos csont (accessory bone) egy veleszületett anatómiai variáns: a csontosodás során egy kisebb csontmag külön marad, és nem forr össze a fő csonttal. A járulékos csontok többsége ártalmatlan, gyakran csak véletlen röntgenleletként derül ki.
Hol fordulnak elő leggyakrabban a járulékos csontok a gyermekeknél?
A járulékos csontok gyermekkorban leggyakrabban a láb és a boka területén láthatók. Tipikus példák az accessory navicular (os tibiale externum), az os trigonum és az os peroneum. Ezek sokszor lúdtalp, bokafájdalom vagy sportsérülés kivizsgálásakor kerülnek elő.
A járulékos csont összetéveszthető töréssel?
Igen, ezért fontos a szakorvosi értékelés. A járulékos csont röntgenen többnyire simább, kerekebb, rendezett szélű, míg egy törés gyakran szabálytalan, éles szélű. Gyermekeknél esés vagy sportbaleset után különösen lényeges a pontos elkülönítés.
Mikor okozhat panaszt a járulékos csont?
A járulékos csontok többsége panaszmentes, de fájdalmat okozhatnak, ha cipőnyomás, fokozott sportterhelés, lúdtalp miatti túlterhelés, vagy a környező inak (pl. az inak tapadási zónája) irritációja alakul ki. Ilyenkor jelentkezhet terhelésre fokozódó fájdalom, helyi nyomásérzékenység vagy duzzanat.
Kell-e kezelni vagy műteni a járulékos csontot gyermekeknél?
Panaszmentes járulékos csont esetén általában nincs teendő, elegendő a megfigyelés. Panasz esetén elsőként konzervatív kezelés javasolt (terheléscsökkentés, cipőkorrekció, lúdtalp rendezése, gyógytorna, szükség esetén átmeneti rögzítés/gyulladáscsökkentés). Műtét gyermekkorban csak ritkán, tartós és makacs panaszoknál merül fel.
Nemzetközi szakmai háttér – Járulékos csontok (Accessory bones)
Összefoglaló
