Nem osszifikálódó csontfibroma gyerekeknél – amit a szülőknek érdemes tudni
A nem osszifikálódó csontfibroma sok családban teljesen véletlen lelet: elesés vagy sport utáni panasz miatt készül röntgen, és a leleten megjelenik egy „folt” a csontban. Ilyenkor természetes, hogy a szülő megijed. Jó hír, hogy a nem osszifikálódó csontfibroma a gyerekkor egyik leggyakoribb jóindulatú csontelváltozása, és jellemzően nem jelent komoly veszélyt.
Mit jelent a diagnózis?
A nem osszifikálódó csontfibroma (nonossifying fibroma, NOF) rostos szövetből álló, jóindulatú csontelváltozás. Nem rosszindulatú daganat, nem ad áttétet, és nem „terjed” a szervezetben. Leggyakrabban a hosszú csöves csontok csontvéghez közeli részén (metafízis) alakul ki – tipikusan a térd környékén (combcsont alsó, sípcsont felső/alsó szakasz).
Mennyire gyakori?
A nem osszifikálódó csontfibroma meglepően gyakori: egyes becslések szerint a 20 év alattiak kb. 30–40%-ában előfordulhat, csak a többség soha nem szerez róla tudomást, mert panaszt nem okoz. A lelet ezért sokszor „melléklelet” egy térdsérülés, boka-húzódás vagy sportsérülés kapcsán készült röntgenen.
Miért alakul ki, és „kinőhető-e”?
A nem osszifikálódó csontfibroma kialakulása általában nem köthető egyetlen traumához. A szakmai leírások szerint inkább fejlődési/átépülési sajátosság: egy kis területen a csont normál átépülése átmenetileg rostos szövettel jár. Emiatt sok NOF a növekedés lezárulásával fokozatosan „kicsontosodik”, és a röntgenen egyre inkább hegszerű, szklerotikus területként látszik.
Okozhat-e fájdalmat?
A nem osszifikálódó csontfibroma a legtöbbször tünetmentes. Enyhe, terhelésre jelentkező fájdalom előfordulhat, de ilyenkor mindig fontos kizárni, hogy a panaszt valójában más ok (túlterhelés, ízületi irritáció, izom-ín probléma) magyarázza. A legfontosabb gyakorlati kérdés a töréskockázat: nagyobb lézió esetén a csont teherbírása csökkenhet, és egy kisebb esés/ugrás is könnyebben okozhat patológiás törést.

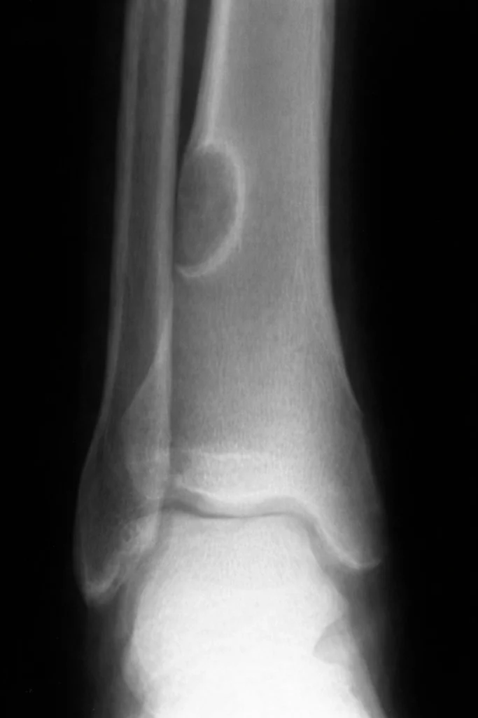
Hogyan biztos a diagnózis?
A nem osszifikálódó csontfibroma legtöbbször röntgen alapján felismerhető, mert jellegzetes képet ad: jól körülhatárolt, a csont külső részéhez közelebb elhelyezkedő, ritkább szerkezetű terület, gyakran vékony, fehéres szegéllyel. Emiatt sok esetben biopszia nem szükséges. Ha a kép nem típusos, a lézió nagy, vagy a csont stabilitása kérdéses, MRI vagy CT jöhet szóba.
Mit jelent, ha a leleten „fibrous cortical defect” szerepel?
Gyakran ugyanannak a spektrumnak a kisebb formájáról van szó: a „fibrous cortical defect” tipikusan kisebb, a kéregcsontban elhelyezkedő elváltozás, amely szintén jóindulatú és sokszor kezelés nélkül rendeződik. A mindennapi teendők szempontjából a lényeg ugyanaz: a képalkotó jellegzetességei, a méret és a csont teherbírása alapján dönt a kezelőorvos a kontrollról.
Mi a teendő: megfigyelés vagy műtét?
A nem osszifikálódó csontfibroma kezelése a legtöbbször megfigyelés. Ez kontrollvizsgálatot és időszakos röntgent jelent (gyakran 6–12 havonta), különösen, ha a gyermek intenzíven sportol, vagy ha a lézió mérete nagyobb. A kontroll célja az, hogy látható legyen: az elváltozás stabil-e, és hogyan alakul a csont teherbírása.
Műtéti megoldás ritkán szükséges, de szóba jöhet, ha:
- a lézió nagy és a csont átmérőjének jelentős részét érinti,
- ismétlődő, egyértelműen lokalizálható fájdalmat okoz,
- patológiás törés történt,
- vagy a képalkotó alapján nem egyértelmű a diagnózis.
A tipikus műtét a kürettálás (kitisztítás) és csontpótlás/csontgraft, szükség esetén belső rögzítéssel.
Sportolhat-e a gyermek?
Panaszmentes NOF mellett a mindennapi mozgás többnyire nem tiltott. A terhelés kérdése egyéni: nagyobb elváltozásnál (különösen kontaktsportokban, sok ugrással és irányváltással járó sportokban) átmeneti korlátozás vagy óvatosabb visszatérés javasolt lehet. Szülőként figyelje, hogy a gyermek terhelésre rendszeresen panaszkodik-e, sántít-e, vagy „kíméli” a végtagot – ezek kontrollt indokolhatnak.
Mikor forduljanak mielőbb orvoshoz?
A nem osszifikálódó csontfibroma önmagában jóindulatú, de gyors vizsgálat indokolt, ha sérülés után a gyermek nem terheli a végtagot, nagy duzzanat/deformitás alakul ki, hirtelen erős fájdalom jelentkezik, éjszakai/nyugalmi fájdalom vagy láz társul, illetve ha a panaszok nem javulnak. Ilyenkor törést vagy más eltérést kell kizárni.
Mit várhatnak a kontrollokon?
Kontrollnál a szakorvos általában azt nézi, hogy az elváltozás mérete és helyzete változik-e, illetve hogy a csont „falvastagsága” és teherbírása biztonságos-e az adott életmód mellett. Sok esetben a röntgenen idővel egyre több csontos-szklerotikus rész jelenik meg, ami a gyógyuló, „kicsontosodó” folyamat jele. Fontos, hogy a kontrollok időzítése egyéni: más lehet egy tünetmentes, kisméretű elváltozásnál, és más egy nagyobb, sportoló gyermeknél.
Prognózis
A hosszú távú kilátások általában kiválóak. A legtöbb NOF a növekedés végéhez közeledve stabilizálódik vagy visszafejlődik, és nem okoz felnőttkorban problémát. A legfontosabb szempont a törés megelőzése: ha a szakorvos szerint a csont stabil, a gyermek többnyire gond nélkül mozoghat.
Összefoglalás
A nem osszifikálódó csontfibroma nagyon gyakori és jellemzően ártalmatlan. A legtöbb esetben megfigyelés és kontroll elegendő, műtét csak válogatott helyzetekben szükséges. A cél a biztonság: felmérni a töréskockázatot, és ennek megfelelően meghatározni a kontrollt és a sportterhelést. Ha bizonytalan, kérjen gyermekortopédiai véleményt, hogy a nem osszifikálódó csontfibroma kapcsán személyre szabott, megnyugtató terv szülessen.
Gyakori kérdések – Nem osszifikálódó csontfibroma
Mi a nem osszifikálódó csontfibroma, és rosszindulatú-e?
A nem osszifikálódó csontfibroma (NOF) jóindulatú csontelváltozás. Nem rák, nem ad áttétet, és többnyire véletlenül derül ki röntgenen.
Mennyire gyakori, és hogyan szokott kiderülni?
Nagyon gyakori, és legtöbbször tünetmentes. Gyakran „mellékleletként” találják meg egy sérülés vagy fájdalom miatt készült röntgenen.
Mikor elég a megfigyelés, és milyen kontroll javasolt?
A legtöbb esetben elég a megfigyelés. Szakorvosi döntés alapján időszakos kontroll és röntgen követés javasolt, gyakran 6–12 havonta, főleg nagyobb léziónál vagy intenzív sport mellett.
Mikor nő a töréskockázat, és mikor jöhet szóba műtét?
A töréskockázat főként nagyobb elváltozásnál nő, amikor a csont teherbírása csökkenhet. Műtét ritkán kell, de szóba jöhet nagy méret, visszatérő fájdalom, patológiás törés vagy bizonytalan diagnózis esetén.
Sportolhat-e a gyermek nem osszifikálódó csontfibroma mellett?
Többnyire igen, ha panaszmentes és a csont stabil. Nagyobb elváltozásnál a kezelőorvos átmeneti terhelésmódosítást javasolhat, különösen ugrással vagy ütközéssel járó sportoknál.
További hiteles szakmai források – Nem osszifikálódó csontfibroma
Összefoglaló
